所谓“白肺”,是指病变累及了大部分肺组织,使其对X射线的透过度广泛下降,通常提示病情较为严重,可能需要使用呼吸机辅助病人呼吸。“白肺”并不是专业的医学术语,而是一种口语化的表达方式,对于肺部病变的范围也没有严格的界定,通常至少累及70%的肺脏。各种类型的重症肺炎都可以表现为“白肺”,而不是仅限于新冠感染所致的肺炎。医生会根据病人的具体病情,去分析导致“白肺”的原因是什么,比如:急性心功能衰竭导致的肺水肿、各种微生物感染导致的肺炎、不同原因所致的成人急性呼吸窘迫综合征等。
问:什么是“白肺”?出现“白肺”说明病情很严重吗?
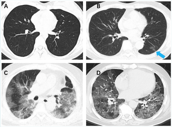
答:正常的肺组织充满大量的气体,气体在X线检查(包括:胸部平片和CT)图像中显示为黑色密度,因此正常的肺CT应该以黑色为主,其中可以看到一些像树枝一样的线条是肺血管和支气管等正常结构,如图A所示。当肺内出现炎症、水肿、出血等病变时,肺组织内会被炎症细胞、黏液、渗出液等物质填充,对X射线的透过度下降,肺CT就会出现一些白色的阴影。这些阴影可以仅累及很小的范围(就像图B中蓝色箭头所指部位),也可以像图C和图D这样影响到大面积的肺部组织。所以,肺部感染会导致肺内部分区域发白,但并不一定达到“白肺”的程度。

所谓“白肺”,是指病变累及了大部分肺组织,使其对X射线的透过度广泛下降,通常提示病情较为严重,可能需要使用呼吸机辅助病人呼吸。“白肺”并不是专业的医学术语,而是一种口语化的表达方式,对于肺部病变的范围也没有严格的界定,通常至少累及70%的肺脏。各种类型的重症肺炎都可以表现为“白肺”,而不是仅限于新冠感染所致的肺炎。医生会根据病人的具体病情,去分析导致“白肺”的原因是什么,比如:急性心功能衰竭导致的肺水肿、各种微生物感染导致的肺炎、不同原因所致的成人急性呼吸窘迫综合征等。
问:感染新冠后出现什么症状需要警惕出现“白肺”?哪些人群更应该重点关注?
答:根据目前的临床观察,患者通常在新冠感染出现症状后的第2周内发展为重症,如果出现持续多日高热不退、发热好转几天后再次出现发热、气促(每分钟呼吸30次以上,而正常成人每分钟在20次以下)、精神状态明显变差、嘴唇发紫、安静状态不发热时心率较日常明显增快(尤其大于120次/分)、血氧饱和度持续低于93%等异常情况,需要警惕重症肺炎的发生,建议尽快至医院就诊。老年人出现进食明显减少、频繁呕吐或腹泻、小便量明显减少时,也要尽快就诊。而如果仅有咳嗽、咳痰,没有明显气短,并不一定需要去做CT排除肺炎,如果症状持续加重,建议就诊后由医生评估是否需要做CT检查。
若感染了新冠病毒,对于65岁以上老年人、养老机构居住人员、未接种疫苗的人群、患有慢性基础疾病的人群(包括心血管疾病、糖尿病、慢性呼吸系统疾病、慢性肾病、慢性肝病等)、免疫抑制人群(包括肿瘤放化疗、器官移植、接受免疫抑制药物治疗等)、孕妇,需要警惕重症肺炎的出现。
问:“白肺”可以预防吗?
答:目前研究结果提示,接种新冠疫苗有助于降低重症发生率。同时,对于上述提到的高危人群,如果明确感染了新冠病毒,建议尽早开始抗病毒治疗(通常建议为症状出现5天内,应由医生根据具体病情判断),也有利于降低发展为重症的几率。因为目前已批准在国内上市的抗病毒药物与多种药物存在药物相互作用,不建议自行囤药、服药,需要在医师指导下服药。新冠病毒感染后需要及时治疗和休息,密切观察病情变化,早期发现和防止疾病进展。
问:“白肺”怎么治?治疗效果怎么样?
答:对于新冠病毒感染引起的“白肺”,需要住院治疗。吸氧等对症支持治疗、糖皮质激素是最重要的治疗手段,必要时会联合托珠单抗或巴瑞替尼等药物共同控制新冠病毒感染引发的剧烈炎症反应;医生根据患者核酸或抗原是否持续阳性等情况决定是否联合抗病毒药物。如果存在合并细菌、真菌等其他病原体感染的提示,会加用相应的抗感染治疗。俯卧位治疗也对存在呼吸衰竭的新冠肺炎患者明确有效,其主要原理是通过体位改变(俯卧、侧卧、坐位)改善肺内的气体和血液分布、改善血氧状况,并有助于痰液的排出。
对于重型新冠肺炎,应尽早识别、尽早启动治疗,多数及时接受恰当治疗的患者肺CT的白色阴影可以逐渐吸收、病情逐渐好转。但也有部分患者病情危重,需要气管插管使用呼吸机,甚至接受体外膜肺氧合(ECMO)治疗。
问:“白肺”康复出院后需要注意什么?
答:当患者病情明显改善,可以不吸氧或仅需要间断低流量吸氧,且能够转为口服药物治疗时,可以考虑出院。如果出院时由于存在慢性肺部疾病等基础病,血氧低于90%-93%,建议家庭准备制氧机或氧气瓶。出院后应注意休息,避免劳累。同时也避免长时间卧床,建议体力允许的情况下适当活动。注意关注咳嗽咳痰等症状变化,以及体温、呼吸频率、心率等;如有条件,建议出院一周内每日测量指脉氧血氧饱和度、保持其数值不低于94%,如较出院时有明显下降,建议及时就诊。

