新华网 > > 正文

军医提醒:膝关节疼痛不仅是“多休息”那么简单

2015年11月30日 09:08:56 来源: 中国军网

专家介绍:王海硕,李敏,解放军第306医院医学影像科

现如今越来越多的人关注健康,热爱运动:登山、骑车、健步走、慢跑等都是大家钟爱的健身项目。不过,很多人都会伴随有一定的运动损伤,最常见的就是膝关节疼痛。一些人感觉疼痛明显,但在做完X线检查后,却没有显著相关的阳性发现。有些医生也许会认为属于非特异性的运动损伤不需做任何处理,告知患者停止运动,观察即可。那么,膝关节真的没有病变吗?让我们分析以下两个病例。

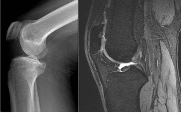
病例1:患者男,34岁,战士,因膝关节屈伸时弹响,下蹲困难1年做膝关节X线(上图左)及磁共振MRI(上图右)检查。X线检查提示未见明确骨质病变征象。但MRI-3D序列可见髌骨后缘局灶性骨髓水肿,相邻软骨变薄,提示髌骨软化症。

病例2:患者女,60岁,膝关节疼痛多年,做膝关节X线(上图左)及MRI(上图右)检查。X线表明髌股关节间隙变窄,骨质增生显著。MRI-3D序列除了上述征象外,还可见到髌骨后缘多发骨髓水肿,相应部位关节软骨中断不连续。

分析上两例患者情况,X线都没有观察到显著相关阳性改变,更难于发现膝关节软骨病变。但是,MRI均可以明确诊断为髌骨软化症。

髌骨软化症常见的临床症状有膝关节前侧疼痛,久坐起立或下楼、下坡时疼痛加重,常有腿打软,关节怕凉,或膝关节反复肿胀、积液等。严重时形成骨性关节炎,所以早期诊断,釆取合理的防治措施,预防它的发生或发展是十分重要的。

对于髌骨软化症的诊断,虽然关节镜检查准确性高并被认为是金标准,但却为有创性检查。MRI具有无创、多参数成像方法,能清晰显示出髌股关节面的解剖结构、病变部位和程度,特别能够发现早期髌软骨的异常改变,这对早期诊断髌骨软化症、及时有效治疗至关重要。所以,MRI对髌骨软化症的诊断及分级是一种最佳检查方法。

已有报道指出MRI诊断晚期髌骨软化症与关节镜符合率很高,诊断早期病变更优于关节镜。MRI矢状位、轴位、脂肪抑制序列的应用均能最佳显示髌股关节软骨。髌骨软化症的MRI表现可分为4期:I期,髌软骨局灶性信号强度改变;Ⅱ期,髌软骨表面轻度不规则、变薄或局部隆起。I、Ⅱ期为早期髌骨软化症,经保守治疗后症状明显好转。Ⅲ期,髌软骨显著变薄、软骨缺损;Ⅳ期:髌软骨缺损并软骨下骨暴露及信号改变。Ⅲ、Ⅳ期为进展期髌骨软化症,大部分不可逆。因此,通过MRI检查早发现、早诊断,对髌骨软化症患者意义重大,可以尽早重视并积极治疗此病,改善预后。

避免不科学的持续性蹲位和剧烈的运动,如爬山、爬楼梯等膝关节屈曲位负重用力的锻炼。避免突然改变锻炼的强度,保持合适体重以降低作用于膝关节上的重力均可减少髌骨软化症的发生。已有国外文献报道关节周围肌肉较强壮、发达时,关节的骨性关节炎发病率可降低80%,发生时间也较晚,由于它的强壮和发达有利于稳定膝关节,不但可治疗髌骨软化症还可减少膝关节内不正常的撞击,可减少骨性关节炎发病率,保持膝关节正常。

【纠错】 [责任编辑: 石乐乐 ]
新华炫闻客户端下载

相关稿件

010020030330000000000000011199061284820651