女子心脏手术几年后金属线从右腿冒出(图)

导丝从右腿膝盖附近穿刺而出。

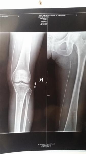
X光片显示,有长约30厘米的导丝留在吴女士右腿血管内。
原标题: 导丝藏身血管 又从右腿冒出
这根导丝长约50厘米,手术后顺利取出;专家认为,患者数年无碍堪称奇迹
2013年,因先天性心脏病,崇左一女子进行过一次心脏手术,紧接着又做了一次急救手术。几年过后,今年5月30日,该女子右腿突然冒出了一根金属质导丝。近日,这根长达半米的导丝,经广西医科大第一附属医院手术取出。目前,该女子已康复出院。专家称,这样的“庞然大物”长时间滞留血管,没有对患者健康造成恶性影响,堪称奇迹。
1 导丝藏身血管中
6月1日下午,广西医科大一附院心血管病研究所,一场取异物手术正在进行。患者吴女士,今年50岁,几天前入院时自诉:右腿靠近膝盖处突然冒出了一截“铁丝”。手术室外,吴女士的儿子黄先生正在焦急地等待,既希望医生早点出来,又害怕提前出来的医生送出坏消息。手术室内,参与手术的有多名医务人员,都是心血管病研究所的业务精英,他们正在紧张地忙碌,丝毫不敢懈怠。
一场看似普通的取异物手术,为何会被如此重视呢?原来,这个看似普通的异物可不简单,X光片显示:藏在吴女士大腿的金属质导丝,大半截滞留在血管里面,长达30多厘米。一不小心,手术发生风险的概率极高。
手术前一小时,南国早报记者曾探望过吴女士,只见她躺在病床上不能动弹,右腿靠近膝盖处,一截长约20厘米的“铁线”穿刺而出。前来做术前检查的医生表示,这种情况异常罕见,作为专业的心血管医生,他们也从来没有遇到过。
万幸的是,吴女士的手术进行得很顺利,6月2日,经检查无异后,便出院返回家中休养。
事实上,除了应感谢医生的医术高明外,吴女士躲过一劫,更应感谢幸运女神的眷顾。广西医科大一附院医务部负责人张先生表示,针对吴姓患者的情况,该院多名专家一致认为是个奇迹:这么长的一根金属质导丝,长时间滞留在患者血管内,没有发生感染,也没发生梗阻或者血管损伤,之前还没有听说过先例。
2 异物从何而来
记者仔细观察发现,曾留在吴女士腿部血管内的导丝,形状颜色类似普通细铁丝,质地较硬,但弹性较好。这么长的一根导丝是如何进入吴女士体内的呢?
据黄先生介绍,他母亲患有先天性心脏病,年轻时比较轻微,但前几年突然严重起来。2013年为了根治疾病,到医院做了一个心脏手术。手术挺成功,各项机能也恢复得挺好。不过,听母亲说,自从做了心脏手术,右腿大腿处不时有异物感。
“不痛不痒,就感觉到有点东西在里面。”吴女士接着说,当时出院后,一些小毛病也没在意,最近半年,因为带孙子,频繁做一些下蹲动作,感觉更加明显。5月30日下午,再一次下蹲抱孙子的过程中,膝盖附近突然一阵剧痛,撸起裤腿一看,满腿是血,一根“铁丝”刺了出来。
在吴女士母子看来,大腿处突然刺出根铁丝,应该与当初的心脏手术有关,很有可能是当初遗留在里面的,因为他们没有在其他地方做过手术。
事实上,吴氏母子的猜测也不无道理。据专业人士介绍,先天性心脏病手术有可能用到导丝,常见的有右心导管、猪尾导管、穿刺用导引导丝等,如果器材或者操作出现问题,可能有导管导丝断裂和滑脱的情况出现。
3 或为几年前急救时遗留
记者了解到,吴女士当初做的心脏手术,同样也是在医科大一附院心血管病研究所进行。给吴女士取出导丝后,对于导丝的出处,院方也组织人员进行了详细调查。
6月7日,广西医科大一附院通报了调查结果:一、吴女士当初进行的是心脏三尖瓣下移畸形手术,手术环节没有用到导丝;二、当初心脏手术后10天,吴女士住院期间,曾因个人原因发生过身体其他部位损伤,该院进行了急救手术,这次手术,用到了穿刺导丝;三、由于时间延续多年,从技术和逻辑上,无法确认也无法否认从吴女士大腿处取出的金属质导丝是当初穿刺用导丝。
对于这份调查结果,广西医科大一附院医务部负责人张先生还作了进一步解释。他说,从目前调查的情况来看,如果吴女士没有在其他医院进行过手术,导丝可能就是在当时急救的非正常条件下产生的。该院帮患者取出导丝,没有收取手术费用,之后,他们会为吴女士提供进一步的免费检查和跟踪,消除隐患。
对于院方的调查处理结果,黄先生表示认同。他说,母亲心脏病手术后,确实出现过一次意外,当时能把母亲再次救活,已经非常感谢医院和医生的努力。现在,他已经知道了导丝的由来,能够理解产生的原因,不会再纠结此事,只希望母亲能健健康康。(南国早报记者 魏碧锋 文/图)
